ダイバー検診
ダイバー検診の目的
ダイバー検診はなぜ必要か
├
死亡事故
├
減圧症
├
耳
├
肺
├
心臓
├
生活習慣病
└
骨壊死
ダイバー検診と一般検診の違い
ダイバー検診の項目
├┬
問診
|├
喫煙歴・服薬歴
|└
症状の有無
|
├
医師の診察
|
├┬
身長・体重
|├
腹囲測定
|├
視力検査
|├
聴力検査
|└
体組成検査
|
├┬
血圧
|└
血圧脈波
|
├
心電図検査
|
├┬
心エコー
|└
頚動脈エコー
|
├┬
胸部レントゲン
|└
喀痰検査
|
├
呼吸機能検査
|
├┬
血液検査
||├
貧血検査
||├
肝機能検査
||├
血中脂質検査
||└
血糖検査
|└
尿検査
|
├
耳抜き検査
|
├
活性酸素・抗酸化力
|
├
パニック検査
|
├
MRI画像検査
|├
骨壊死MRI検査
|├
首MRI検査
|├
腰MRI検査
|└
脳MRI・MRA検査
|
├
CT画像検査
|
└
専門医からの説明と診断書
Q&A
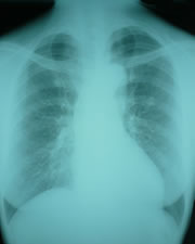
ダイバー検診の項目
胸部レントゲン
ダイビングでリスクになる病気に、気腫性のう胞(ブラ)と肺気腫があります。これらは減圧性気胸(減圧時に起こる肺の気圧外傷、いわゆる肺破裂)の原因になります。
喀痰検査
<職業ダイバーの方へ>
労働安全衛生規則には、胸部レントゲンと診察により必要性があれば結核喀痰検査を実施するよう定められています。
ダイバー検診の項目[ 血液検査/貧血検査/肝機能検査/血中脂質検査/血糖検査/尿検査 ]